Mungesa e menstruacioneve dhe rritja e gjinjve te meshkujt: Alarm hormonal që mund të zbulojë një tumor të rrallë
Këto ndryshime të papritura në trup shpesh keqinterpretohen, por mund të jenë sinjali i parë i një tumori beninj që ndikon fuqishëm në hormonet e organizmit
Simptoma të pazakonshme që lidhen me balancën hormonale dhe shfaqen papritur, si mungesa e menstruacioneve, rrjedhja e qumështit nga gjoksi te gratë që nuk janë lehona, disfunksioni erektil te meshkujt apo madje edhe rritja e pazakontë e gjinjve (ginekomastia) – mund të jenë shenja të hershme të një tumori të hipofizës.
Si zhvillohet tumori i hipofizës?
Pikërisht këto çrregullime hormonale shpesh janë sinjalet e para se në këtë gjëndër të vogël, por jashtëzakonisht të rëndësishme në bazën e trurit, po ndodh diçka.
Tumori i hipofizës formohet kur qelizat e gjëndrës fillojnë të shumohen në mënyrë jonormale. Edhe pse shumica janë beninj (jo-kancerogjenë) dhe nuk përhapen, ndikimi i tyre në ekuilibrin hormonal mund të jetë i theksuar. Disa tumore rrisin prodhimin e hormoneve, ndërsa të tjerat e ulin atë, të dyja gjendjet krijojnë një gamë të gjerë simptomash të pazakonta.
Çfarë lloj tumoresh mund të shfaqen në hipofizë?
Llojet më të zakonshme janë adenomat, tumore beninje që zakonisht qëndrojnë brenda hipofizës. Ato ndahen në:
- mikroadenoma (më të vogla se 1 cm)
- makroadenoma (më të mëdha se 1 cm)
Adenomat funksionale, që prodhojnë hormone, shpesh shkaktojnë simptoma të dukshme hormonale. Ndërsa tumorët jo-funksionalë krijojnë probleme kryesisht për shkak të rritjes së tyre, duke ushtruar presion në strukturat përreth, gjë që mund të shkaktojë dhimbje koke ose ngushtim të shikimit periferik, transmeton Telegrafi.
Simptoma të shumta – disa të zakonshme, disa shumë të çuditshme
Ndër simptomat që tërheqin më së shumti vëmendjen janë ato të lidhura me çrregullimin e hormoneve të prolaktinës. Rritja e prolaktinës (hiperprolaktinemia) shpesh lidhet me prolaktinomat, tumore beninje që ndikojnë në funksionet riprodhuese te të dy gjinitë.
Te gratë mund të shfaqen:
- çrregullime të ciklit ose mungesë totale e menstruacioneve
- rrjedhje qumështi nga gjoksi
- probleme me ovulacionin ose infertilitet
Te meshkujt simptomat janë shpesh edhe më të pazakonta:
- disfunksion erektil dhe ulje të dëshirës seksuale
- rritje e dukshme e gjinjve (ginekomasti)
- ulje e numrit dhe cilësisë së spermës
- rrjedhje e lëngut transparent nga hunda, në raste kur tumori rritet shumë dhe dëmton strukturat përreth
Përveç këtyre, tumoret e hipofizës mund të shkaktojnë edhe simptoma të përgjithshme, por shpesh konfuzuese: ndryshime të papritura në peshë, luhatje të humorit, kriza ankthi, ndjenja zemërimi, mavijosje të pashpjegueshme, marramendje apo konfuzion.
Diagnoza dhe trajtimi – pse është e domosdoshme të kërkohet kontroll
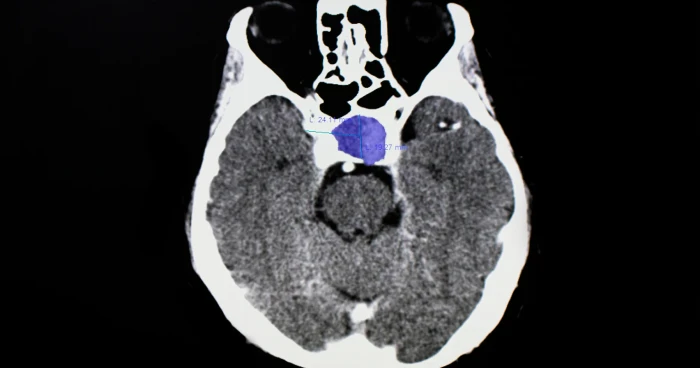
Diagnoza bëhet zakonisht me analiza hormonale, CT ose rezonancë magnetike. Trajtimi varet nga madhësia e tumorit, hormonet që prodhon dhe ndikimi në shikim ose në strukturat e trurit përreth. Disa tumore kërkojnë vetëm monitorim, ndërsa të tjerat trajtohen me ilaçe, kirurgji ose terapi me rrezatim.
Kur kombinon të gjitha këto simptoma, mungesën e menstruacioneve, prodhimin e qumështit te gratë, rritjen e papritur të gjinjve apo rënien e funksionit seksual te meshkujt, hipofiza është shpesh vendi i parë ku mjekët dyshojnë. Por kjo mund të mos vërehet menjëherë, sepse shumë nga simptomat janë të përgjithshme dhe nuk lidhen menjëherë me trurin.
Prandaj është thelbësore t’i njihni këto shenja në kohë dhe të kërkoni kontroll mjekësor, pasi shumica e tumoreve të hipofizës janë beninje dhe trajtohen me sukses./Periskopi/




