Shkencëtarët: TikTok po tkurr trurin dhe shkatërron përqendrimin
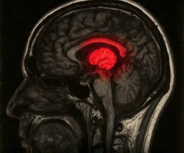
Një studim i ri ka tronditur rrjetet sociale: përdorimi i shpeshtë i TikTok mund të ndryshojë fizikisht trurin e njeriut. Skanimet e trurit kanë treguar se përdoruesit e varur nga TikTok kanë zona të fryra në pjesët që lidhen me shpërblimin dhe emocionet, të ngjashme me ato të të varurve nga kokaina.
Ekspertët paralajmërojnë se përdoruesit e këtij aplikacioni nuk arrijnë të përqendrohen më shumë se 8 sekonda, pasi truri mësohet të kërkojë vazhdimisht stimuj të rinj.
Studentët që shikojnë rregullisht video në TikTok kanë dalë 43% më keq në testet e vëmendjes, dhe shumë prej tyre thonë se nuk mund të lexojnë libra apo të shikojnë filma pa ndier ankth.
Sipas shkencëtarëve, videot e shpejta dhe të pandërprera e kthejnë aplikacionin në një “makinë dopaminash” që pushton sistemin e shpërblimit të trurit, duke e bërë jetën e zakonshme të duket e mërzitshme dhe bosh.
Si ta ndalosh këtë efekt:
Fshije TikTok për 30 ditë për të “rindezur” ekuilibrin e trurit.
Bëj sfida përqendrimi 5-minutëshe çdo ditë.
Zëvendësoje scroll-in me aktivitet fizik ose kohë pa ekran../Periskopi/



